ポメラニアン ソファ 骨折

犬の骨折の原因と予防 ポメラニアンやトイプードルはご注意 愛犬にやさしい暮らしのために

犬の骨折の原因と予防 ポメラニアンやトイプードルはご注意 愛犬にやさしい暮らしのために

ポメラニアンの両足骨折 大橋動物病院 幸手市 のブログ

ポメラニアンの両足骨折 大橋動物病院 幸手市 のブログ

風の動物病院 骨折ブラザーズ 2人とも早く治そうね トイプードルやパピヨン ポメラニアン チワワなど Facebook

風の動物病院 骨折ブラザーズ 2人とも早く治そうね トイプードルやパピヨン ポメラニアン チワワなど Facebook

ポメラニアンの骨折 大橋動物病院 幸手市 のブログ

ポメラニアンの骨折 大橋動物病院 幸手市 のブログ

ポメちゃんの骨折には気を付けて たこちゃん家のワンコ Breeding House 児玉繁殖

ポメちゃんの骨折には気を付けて たこちゃん家のワンコ Breeding House 児玉繁殖

整形外科 犬猫専門動物病院 ドッグ キャットホスピタル ガルファー 仙台市太白区の動物病院

整形外科 犬猫専門動物病院 ドッグ キャットホスピタル ガルファー 仙台市太白区の動物病院

整形外科 犬猫専門動物病院 ドッグ キャットホスピタル ガルファー 仙台市太白区の動物病院

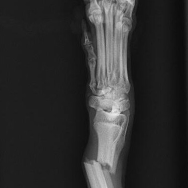
症例報告 橈尺骨骨折 手の骨折 シリウス犬猫病院

症例報告 橈尺骨骨折 手の骨折 シリウス犬猫病院

ポメラニアンと暮らすために 正しい飼い方を学ぼう ペットニュースストレージ ペット ファミリー損保

ポメラニアンと暮らすために 正しい飼い方を学ぼう ペットニュースストレージ ペット ファミリー損保

トイプードルやポメラニアン イタリアングレイハウンドなどの橈尺骨骨折 藤井寺動物病院 病院日誌

トイプードルやポメラニアン イタリアングレイハウンドなどの橈尺骨骨折 藤井寺動物病院 病院日誌

ポメラニアンの飼い方 性格や体の特徴から注意点などを徹底解説 ドッグフード店長

ポメラニアンの飼い方 性格や体の特徴から注意点などを徹底解説 ドッグフード店長

ポメラニアンと暮らすために 正しい飼い方を学ぼう ペットニュースストレージ ペット ファミリー損保

ポメラニアンと暮らすために 正しい飼い方を学ぼう ペットニュースストレージ ペット ファミリー損保

室内での骨折に要注意 あなたの愛犬は大丈夫 獣医師が解説 ワンペディア

室内での骨折に要注意 あなたの愛犬は大丈夫 獣医師が解説 ワンペディア

チワワに骨折 脱臼が多いってホント 改めて知りたい関節 骨の病気 Shi Ba シーバ プラス犬びより 犬と楽しく暮らす 情報マガジン

チワワに骨折 脱臼が多いってホント 改めて知りたい関節 骨の病気 Shi Ba シーバ プラス犬びより 犬と楽しく暮らす 情報マガジン

ポメラニアン ノンノン On Twitter 私がソファにいると助走をつけて上に登ろうとするんだけど ジャンプのタイミング早い気がするのは私だけ ﻌ ポメラニアン Pomeranian ノンノン

ポメラニアン ノンノン On Twitter 私がソファにいると助走をつけて上に登ろうとするんだけど ジャンプのタイミング早い気がするのは私だけ ﻌ ポメラニアン Pomeranian ノンノン

特集 ペットとローソファ 国産ローソファ フロアソファ専門店 Harem

特集 ペットとローソファ 国産ローソファ フロアソファ専門店 Harem

3dギプス Instagram Posts Gramho Com

3dギプス Instagram Posts Gramho Com

ポメラニアンの猿期とは ポメラニアンの飼育ポイントと吠える理由 Mofmo

ポメラニアンの猿期とは ポメラニアンの飼育ポイントと吠える理由 Mofmo

ポメラニアン もうすぐ9歳の 男の子です メールハイエナ 横浜のポメラニアンの里親募集 ジモティー

ポメラニアン もうすぐ9歳の 男の子です メールハイエナ 横浜のポメラニアンの里親募集 ジモティー

アイペット損保 経験者のホンネから予防の大切さを学ぶ うちの子骨折ルポ

アイペット損保 経験者のホンネから予防の大切さを学ぶ うちの子骨折ルポ

犬の橈尺骨骨折 動物別症例集 動物病院うみとそら 杉並区永福町 浜田山 方南町 高円寺 中野 世田谷

犬の橈尺骨骨折 動物別症例集 動物病院うみとそら 杉並区永福町 浜田山 方南町 高円寺 中野 世田谷

Source : pinterest.com